
Invisalign- A Sneaky Way To A Straighter Smile

Invisalign is a revolutionary orthodontic treatment that replaces traditional braces with clear, custom-made aligners. These virtually invisible aligners are designed to gently shift your teeth into their desired positions, resulting in a beautifully aligned smile. Unlike traditional braces, Invisalign aligners are removable, making it easier to maintain oral hygiene and enjoy your favorite foods without restrictions. With Invisalign, you can discreetly transform your smile while carrying on with your daily life, and most people won't even notice you're wearing them. It's a comfortable and convenient way to achieve the smile you've always wanted.
Exclusive Offers

Join us and start your Invisalign® treatment to receive
The clear alternative to braces
Free Consultation
Free Digital Smile Prediction
Free Retainers with Treatment
Take Home Whitening kit
Terms and conditions: *The Invisalign special cannot be combined with other offers
Book Now
Invisalign in Chicago
At Park Smiles Dental, our focus is always on helping you achieve a confident and healthy smile with Invisalign. Our dentists will guide you through the process, customizing your Invisalign treatment to meet your needs.
Whether you're a teenager or an adult, Invisalign is a versatile and effective option for everyone, discreetly aligning your teeth. We understand that a straight smile is not just about aesthetics but also your oral health. With Invisalign at Park Smiles Dental, you can look forward to a more comfortable and convenient journey towards a beautifully aligned smile.
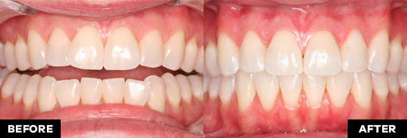
Before & Afters




FREQUENTLY ASKED QUESTIONS
- Nearly invisible, others won't notice.
- Eat freely; remove aligners when needed.
- Simple to clean; maintain oral hygiene.
- No disruptions to daily routines.
- Confidently embrace your lifestyle.
GET A GLAM SMILE, WITH VIP TREATMENT AT Chicago, IL TOP COSMETIC DENTISTRY OFFICE
Book Now
(312) 344-3403